
17 / 17

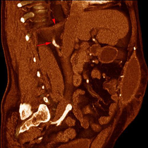
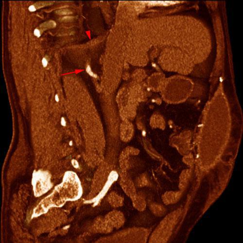
Arteria renal torácica
VR seccional. Visión sagital derecha. AngioTC renal mostrando el paso de la arteria renal derecha (flecha) a través del pilar diafragmático derecho (punta de flecha). Absceso de pared abdominal anterior
Comentarios
Sin comentarios
Sé el primero en publicar un comentario