
16 / 17

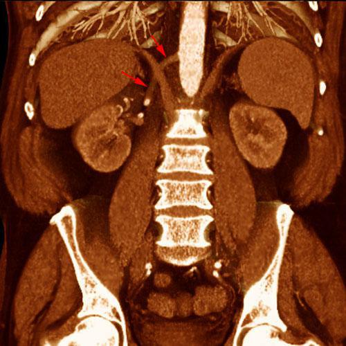
Arteria renal torácica
VR seccional. Visión coronal anterior. Angio TC renal mostrando la salida de la arteria renal derecha (flechas) desde la aorta torácica descendente por encima del diafragma
Comentarios
Sin comentarios
Sé el primero en publicar un comentario