
12 / 17

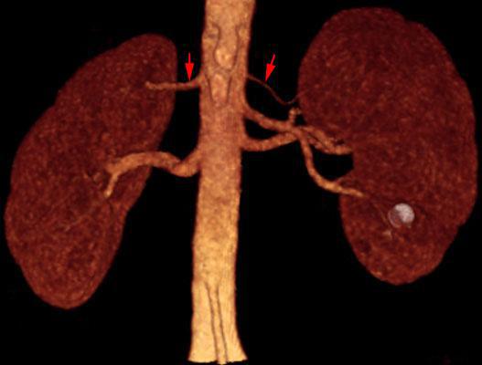
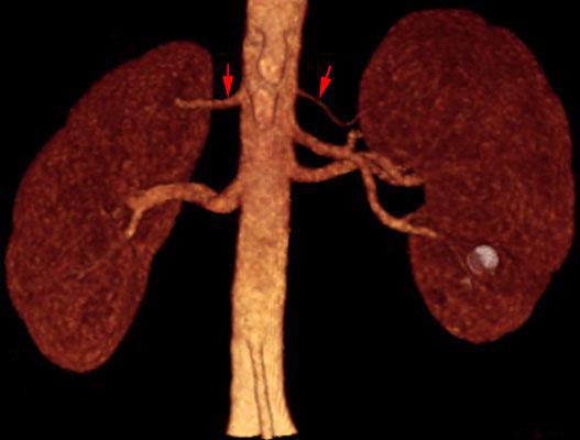
Arterias renales polares
VR 3D Visión anterior. AngioTC renal mostrando en el lado derecho una arteria polar (flecha) y en el lado izquierdo junto a dos arterias principales una polar de pequeño tamaño (flecha)
Comentarios
Sin comentarios
Sé el primero en publicar un comentario