
10 / 17

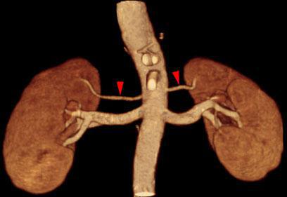
Arterias renales polares
VR 3D. Visión anterior. AngioTC renal mostrando junto a las arterias renales principales dos arterias polares (puntas de flecha)
Comentarios
Sin comentarios
Sé el primero en publicar un comentario


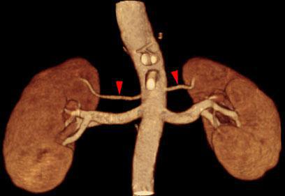
VR 3D. Visión anterior. AngioTC renal mostrando junto a las arterias renales principales dos arterias polares (puntas de flecha)