
8 / 17

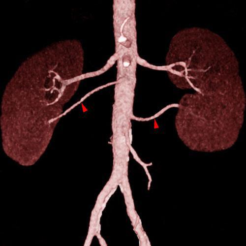
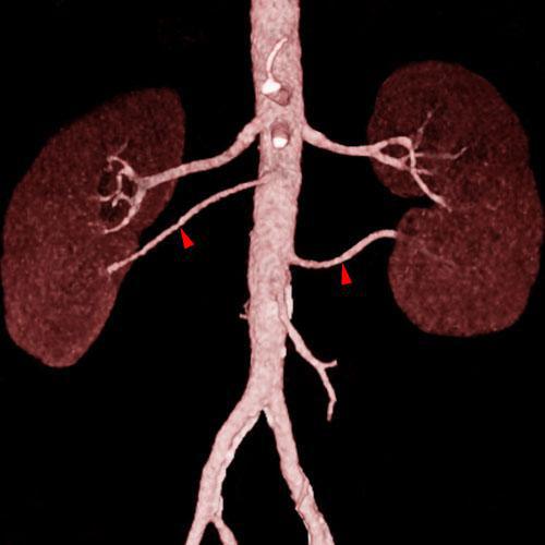
Arterias renales accesorias
VR 3D Visión anterior. AngioTC aórtico. En ambos lados existe una arteria renal accesoria (puntas de flecha) entrando por el hilio a su riñón correspondiente
Comentarios
Sin comentarios
Sé el primero en publicar un comentario