
2 / 17

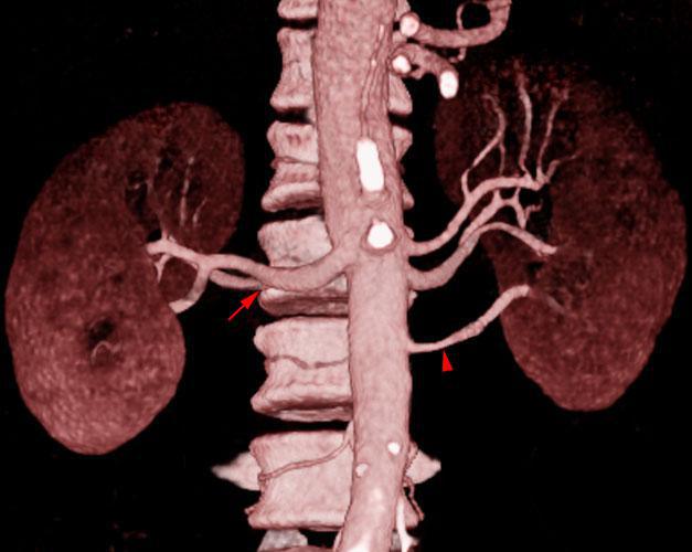
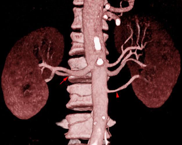
Arterias renales múltiples
VR 3D Visión anterior. AngioTC renal mostrando en el lado derecho una bifurcación prehiliar (flecha) y en el lado izquierdo tres arterias renales siendo la más inferior (punta de flecha) de tipo accesorio ya que entra por el hilio renal
Comentarios
Sin comentarios
Sé el primero en publicar un comentario