
17 / 18

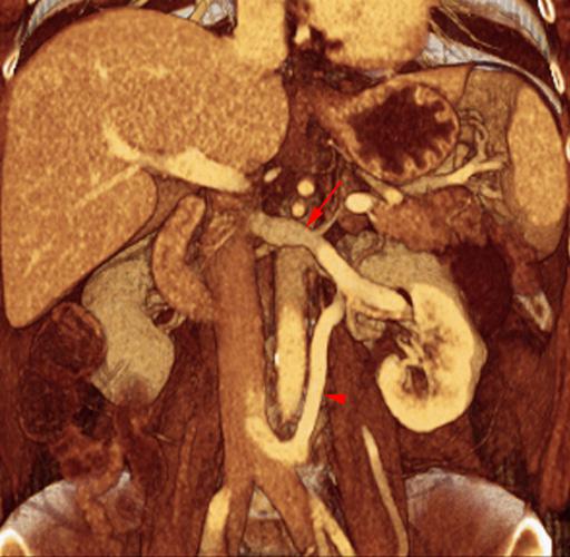
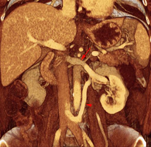
Vena renal izquierda circumaórtica baja
VR seccional. Visión coronal anterior. TC contrastado en fase venosa mostrando una vena renal izquierda circumaórtica con una rama superior en disposición normal (flecha) y una rama inferior a la altura de la bifurcación aórtica (punta de flecha).
Comentarios
Sin comentarios
Sé el primero en publicar un comentario