
14 / 18

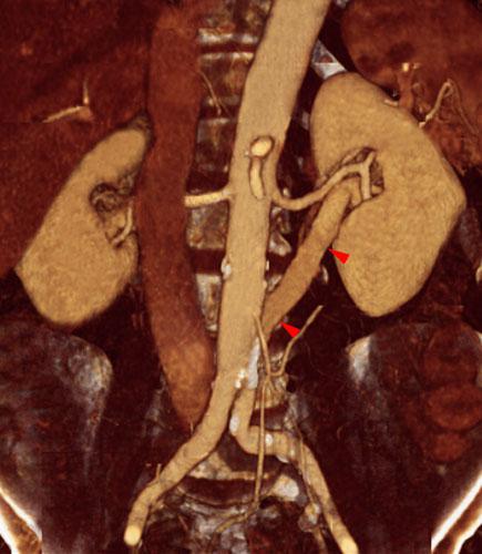
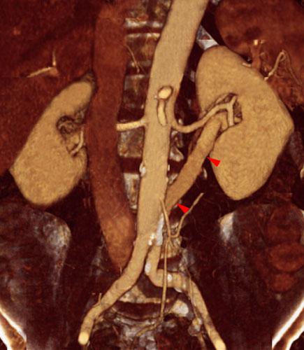
Vena renal izquierda retroaórtica baja
VR 3D Visión anterior. TC contrastado en fase venosa visualizándose una vena renal izquierda retroaórtica (puntas de flecha) a nivel de la bifurcación aórtica
Comentarios
Sin comentarios
Sé el primero en publicar un comentario