
10 / 18

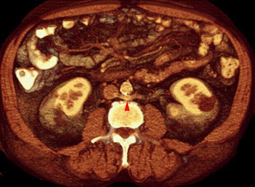
Vena renal izquierda circumaórtica
VR seccional. Visión axial caudal. TC contrastado en fase venosa. Una sección mas caudal muestra la rama inferior de la vena circumaórtica (punta de flecha) en su paso retroaórtico hacia la vena cava inferior
Comentarios
Sin comentarios
Sé el primero en publicar un comentario