
7 / 18

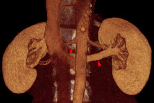
Vena renal izquierda retroaórtica
VR 3D Visión anterior. AngioTC renal visualizándose una vena renal izquierda de situación retroáortica (puntas de flecha)
Comentarios
Sin comentarios
Sé el primero en publicar un comentario


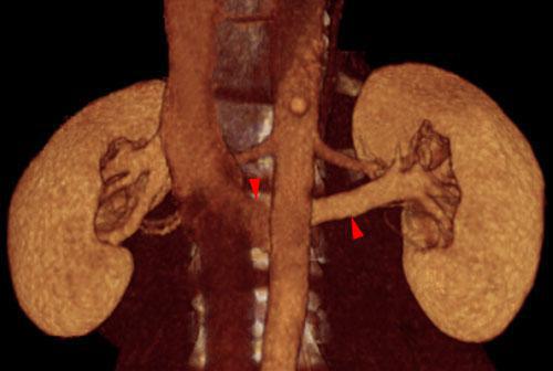
VR 3D Visión anterior. AngioTC renal visualizándose una vena renal izquierda de situación retroáortica (puntas de flecha)