
2 / 18

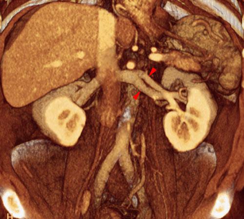
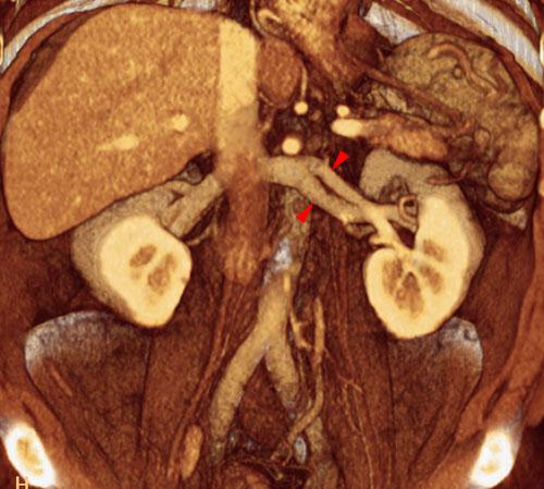
Bifurcación vena renal izquierda
VR seccional. Visión coronal anterior. AngioTC renal en fase venosa visualizándose una bifurcación prehiliar de la vena renal izquierda (puntas de flecha)
Comentarios
Sin comentarios
Sé el primero en publicar un comentario