Ectopia renal
Ectopia renal
Ectopia renal
Ectopia renal
Ectopia renal
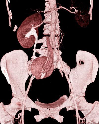
Ectopia renal pélvica
Ectopia renal pélvica
Ectopia renal pélvica
Ectopia renal pélvica
Ectopia renal pélvica
Ectopia renal pélvica
Ectopia renal cruzada
Ectopia renal cruzada
Ectopia renal cruzada
Ectopia renal cruzada
Ectopia renal cruzada con anomalía de sínfisis
Ectopia renal cruzada con anomalía de sínfisis
Ectopia renal cruzada con anomalía de sínfisis
Ectopia renal cruzada con anomalía de sínfisis
Ectopia renal cruzada con anomalía de sínfisis