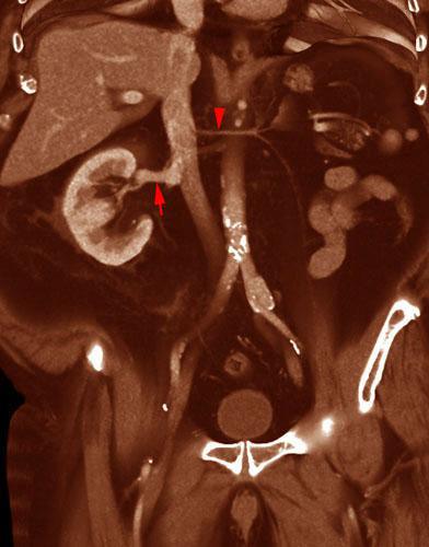
Agenesia Renal
Agenesia Renal
Agenesia Renal
Agenesia Renal
Agenesia Renal
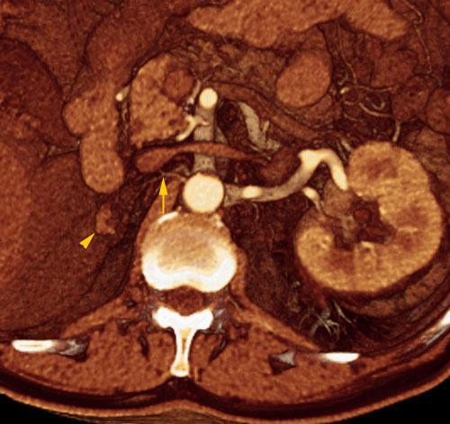
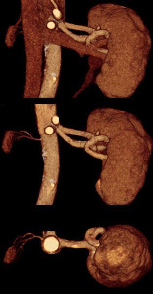
Hipoplasia renal 1
Hipoplasia renal 1
Hipoplasia renal 1
Hipoplasia renal 1
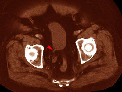
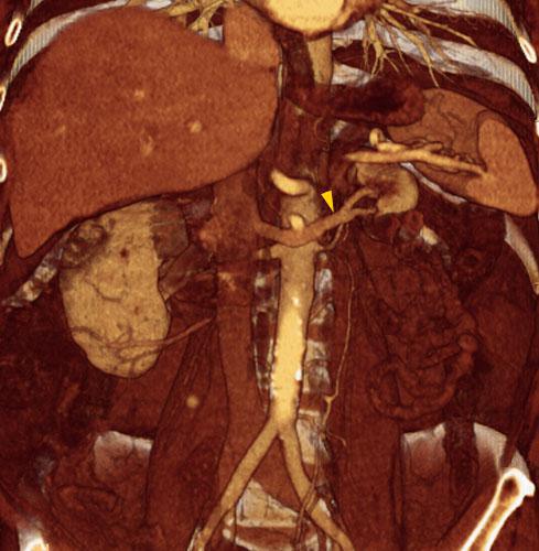
Hipoplasia renal 2
Hipoplasia renal 2
Hipoplasia renal 2
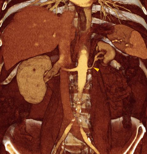
Riñón único pélvico
Riñón único pélvico
Riñón único pélvico
Riñón único pélvico