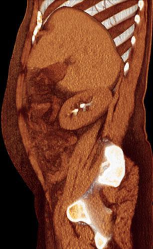
Malrotación renal anterior
Malrotación renal anterior
Malrotación renal anterior
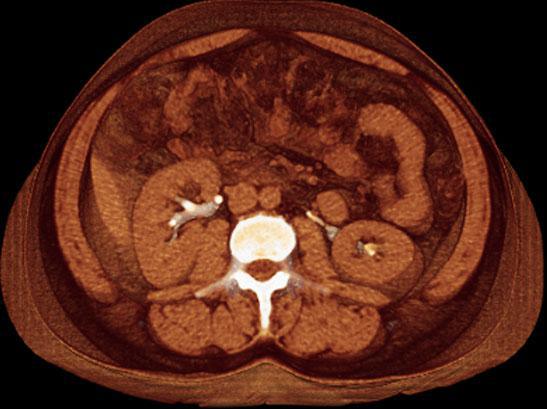
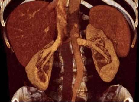
Riñón horizontalizado
Riñón horizontalizado
Riñón horizontalizado
Riñón horizontalizado
Riñón horizontalizado
Riñón horizontalizado
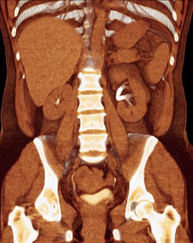
Malrotación renal en riñón en herradura
Malrotación renal en riñón en herradura
Malrotación renal en riñón en herradura