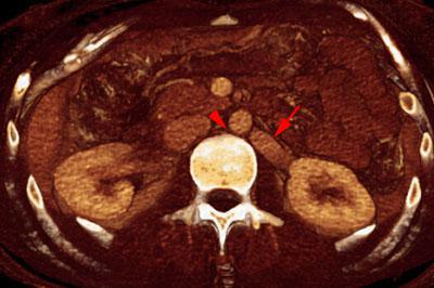
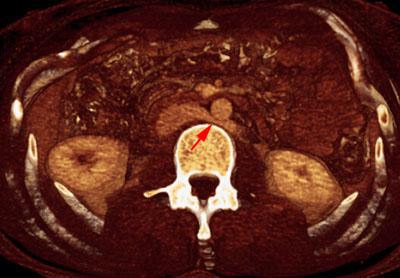
Síndrome del cascanueces
Síndrome del cascanueces
Síndrome del cascanueces
Síndrome del cascanueces
Síndrome del cascanueces
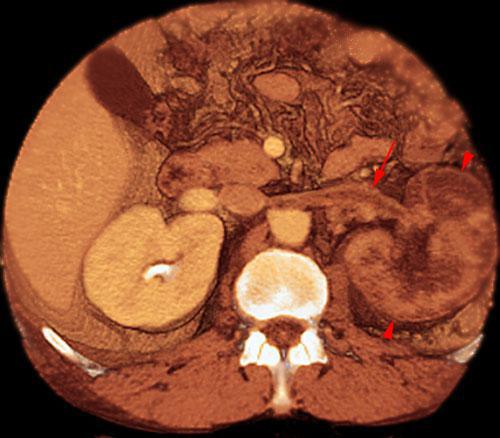
Síndrome del cascanueces retroaórtico
Síndrome del cascanueces retroaórtico
Síndrome del cascanueces retroaórtico
Síndrome del cascanueces retroaórtico
Síndrome del cascanueces retroaórtico
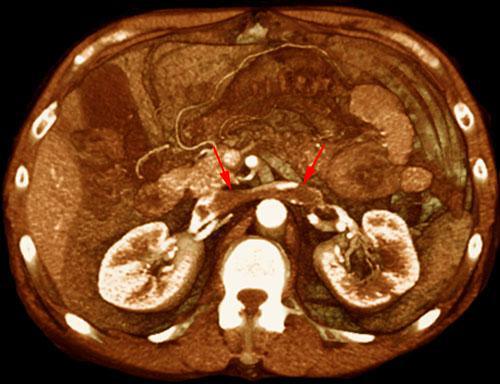
Trombosis de la vena renal izquierda
Trombosis de la vena renal izquierda
Trombosis de la vena renal izquierda
Trombosis venosa renal
Trombosis venosa renal
Trombosis venosa renal