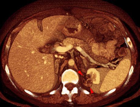
Oncocitoma
Oncocitoma
Oncocitoma
Oncocitoma
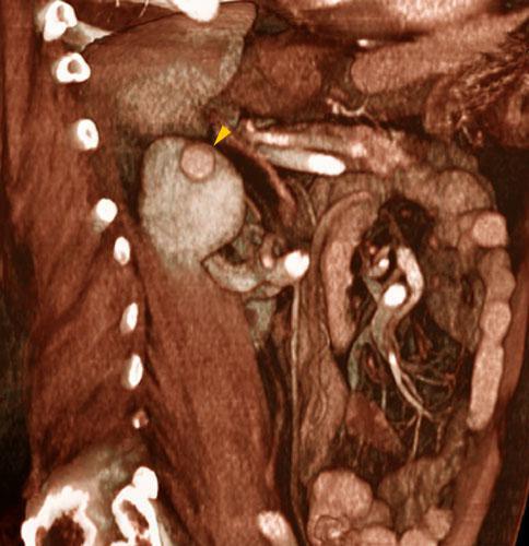
Nefroma quístico multilocular
Nefroma quístico multilocular
Nefroma quístico multilocular
Nefroma quístico multilocular
Nefroma quístico multiocular
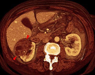
Angiomiolipoma renal 1
Angiomiolipoma renal 1
Angiomiolipoma renal 1
Angiomiolipoma renal 1
Angiomiolipoma renal 1
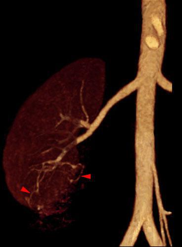
Angiomiolipoma renal 2
Angiomiolipoma renal 2
Angiomiolipoma renal 2
Angiomiolipoma renal 2
Angiomiolipoma renal 2