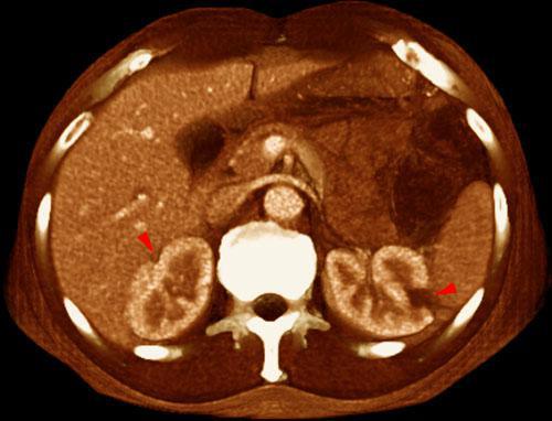
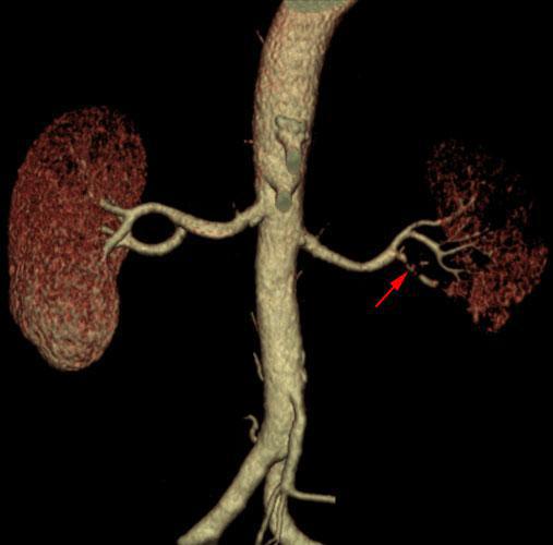
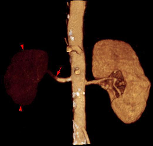
Isquemia renal crónica
Isquemia renal crónica
Isquemia renal crónica
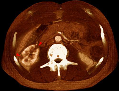
Infartos renales múltiples
Infartos renales múltiples
Infartos renales múltiples
Infartos renales múltiples
Infartos renales múltiples
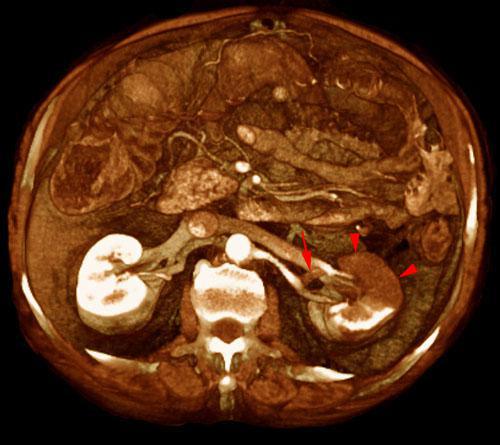
Infarto renal segmentario
Infarto renal segmentario
Infarto renal segmentario
Infarto renal segmentario
Infarto renal segmentario
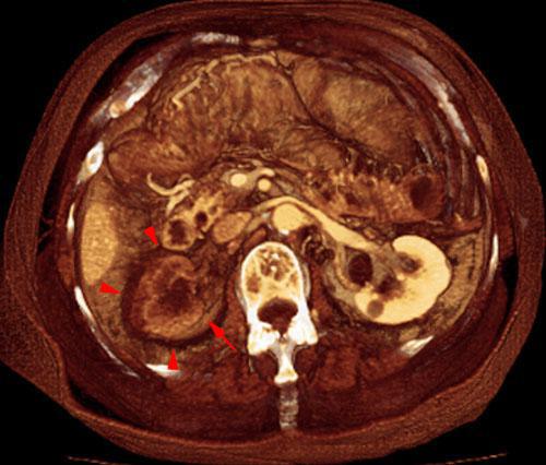
Infarto renal agudo
Infarto renal agudo
Infarto renal agudo
Infarto renal agudo
Infarto renal agudo