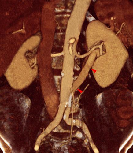
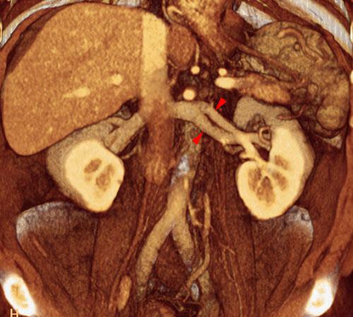
Bifurcación vena renal izquierda
Bifurcación vena renal izquierda
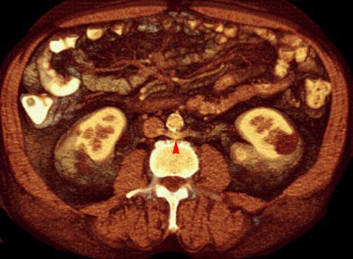
Vena renal izquierda retroaórtica
Vena renal izquierda retroaórtica
Vena renal izquierda retroaórtica
Vena renal izquierda retroaórtica
Vena renal izquierda retroaórtica
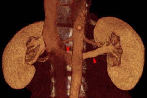
Vena renal izquierda circumaórtica
Vena renal izquierda circumaórtica
Vena renal izquierda circumaórtica
Vena renal izquierda circumaórtica
Vena renal izquierda circumaórtica
Vena renal izquierda retroaórtica baja
Vena renal izquierda retroaórtica baja
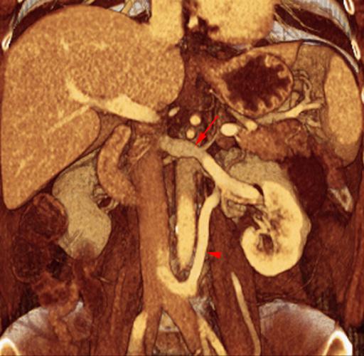
Vena renal izquierda circumaórtica baja
Vena renal izquierda circumaórtica baja
Vena renal izquierda circumaórtica baja
Vena renal izquierda circumaórtica baja