Nefrectomía radical
Nefrectomía radical
Nefrectomía radical
Nefrectomía radical
Nefrectomía parcial. Tumorectomia
Nefrectomía parcial. Tumorectomia
Nefrectomía parcial. Tumorectomia
Nefrectomía parcial. Tumorectomia
Nefrectomía parcial. Tumorectomia
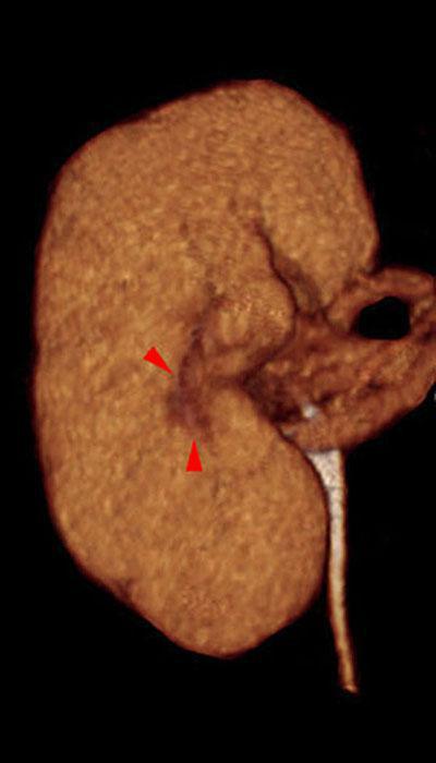
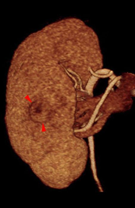
Recidiva local de hipernefroma
Recidiva local de hipernefroma
Recidiva local de hipernefroma
Recidiva local de hipernefroma
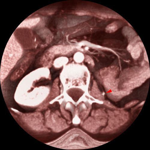
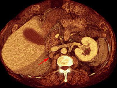
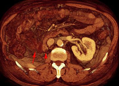
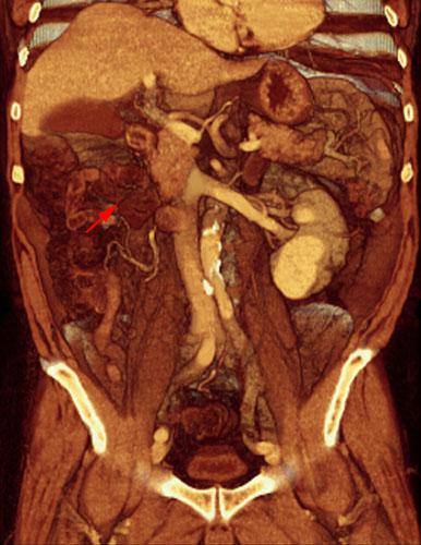
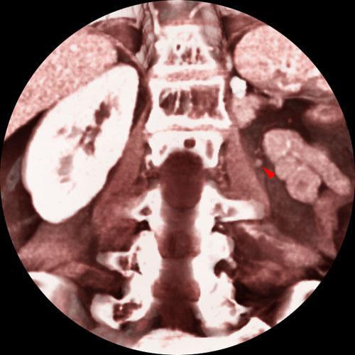
Recidiva adenopática de hipernefroma
Recidiva adenopática de hipernefroma
Recidiva adenopática de hipernefroma
Recidiva adenopática de hipernefroma