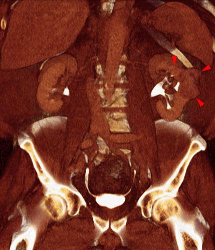
Pequeño hipernefroma
Pequeño hipernefroma
Pequeño hipernefroma
Pequeño hipernefroma
Pequeño hipernefroma
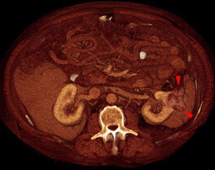
Hipernefroma 1
Hipernefroma 1
Hipernefroma 1
Hipernefroma 1
Hipernefroma 1
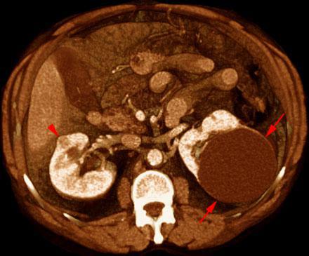
Hipernefroma 2
Hipernefroma 2
Hipernefroma 2
Hipernefroma 2
Hipernefroma 2
Tumor del seno renal
Tumor del seno renal
Tumor del seno renal
Tumor del seno renal
Tumor del seno renal