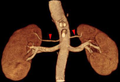
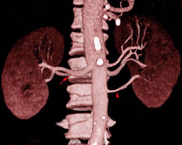
Arterias renales múltiples
Arterias renales múltiples
Arterias renales múltiples
Arterias renales múltiples
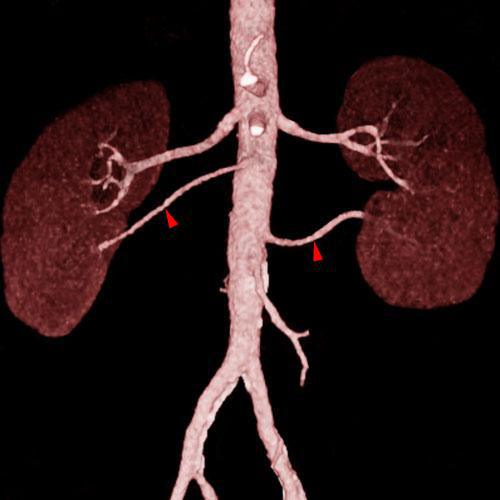
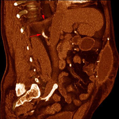
Arterias renales accesorias
Arterias renales accesorias
Arterias renales accesorias
Arterias renales accesorias
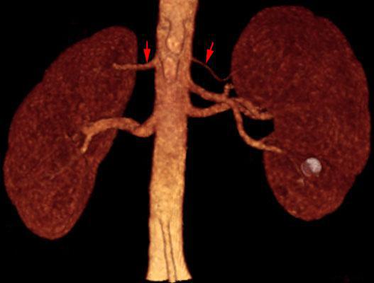
Arterias renales polares
Arterias renales polares
Arterias renales polares
Arterias renales polares
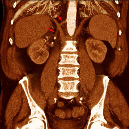
Arteria renal torácica
Arteria renal torácica
Arteria renal torácica
Arteria renal torácica
Arteria renal torácica