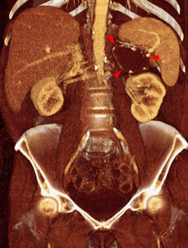
Quiste renal calcificado
Quiste renal calcificado
Quiste renal calcificado
Quiste renal calcificado
Quiste renal calcificado
Quiste renal hemorrágico
Quiste renal hemorrágico
Quiste renal hemorrágico
Quiste renal hemorrágico
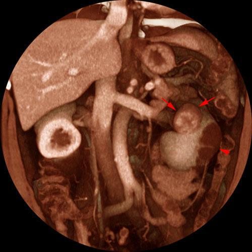
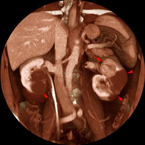
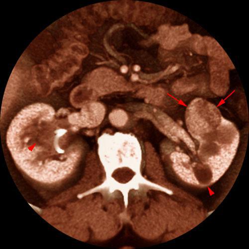
Quiste renal multitabicado e hipernefroma
Quiste renal multitabicado e hipernefroma
Quiste renal multitabicado e hipernefroma
Quiste renal multitabicado e hipernefroma
Quiste renal multitabicado e hipernefroma
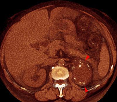
Quiste renal complejo sugestivo de neoplasia
Quiste renal complejo sugestivo de neoplasia
Quiste renal complejo sugestivo de neoplasia
Quiste renal complejo sugestivo de neoplasia
Quiste renal complejo sugestivo de neoplasia