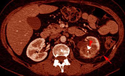
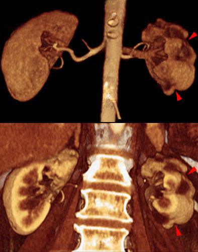
Pielonefritis xantogranulomatosa
Pielonefritis xantogranulomatosa
Pielonefritis xantogranulomatosa
Pielonefritis xantogranulomatosa
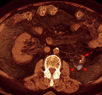
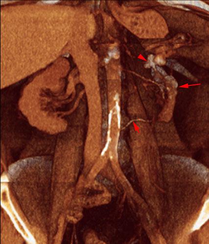
Pielonefritis crónica
Pielonefritis crónica
Pielonefritis crónica
Pielonefritis crónica
Riñón ectópico pielonefrítico
Riñón ectópico pielonefrítico
Riñón ectópico pielonefrítico
Pielonefritis crónica en tbc
Pielonefritis crónica en tbc
Pielonefritis crónica en tbc
Pielonefritis crónica en tbc
Pielonefritis crónica en tbc
Riñón mastic
Riñón mastic
Riñón mastic
Riñón mastic
Riñón mastic