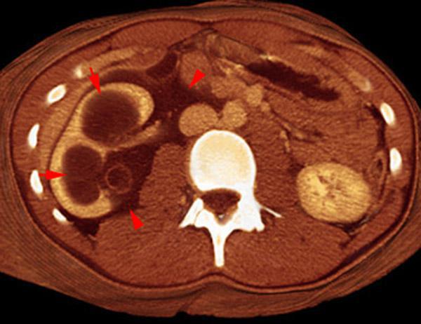
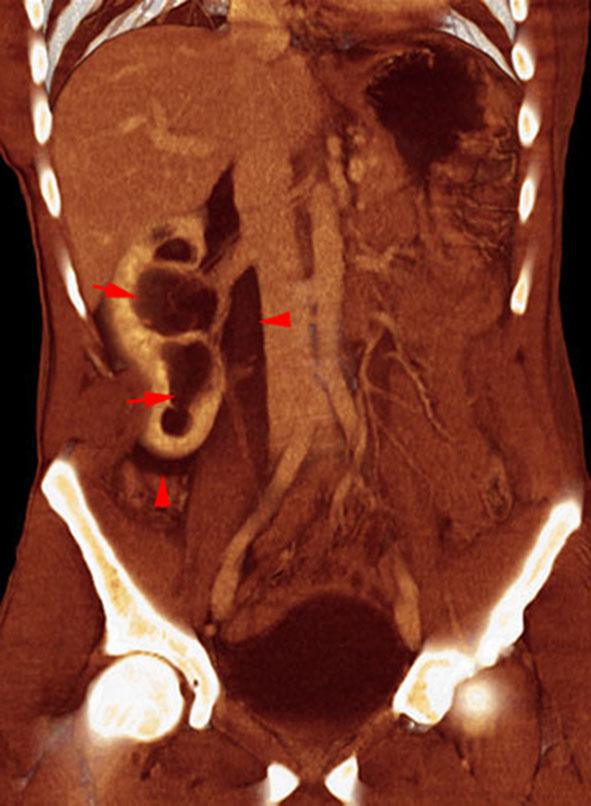
Rotura pielocalicial
Rotura pielocalicial
Rotura pielocalicial
Rotura pielocalicial
Rotura pielocalicial
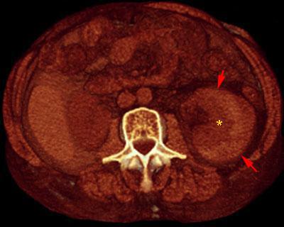
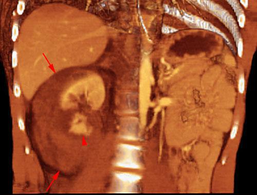
Hematoma subcapsular y perirrenal
Hematoma subcapsular y perirrenal
Hematoma subcapsular y perirrenal
Hematoma subcapsular y perirrenal
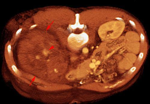
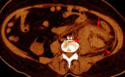
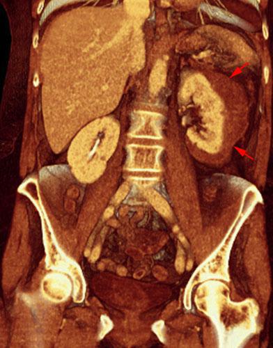
Hematoma subcapsular
Hematoma subcapsular
Hematoma subcapsular
Hematoma subcapsular
Hematoma subcapsular
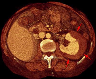
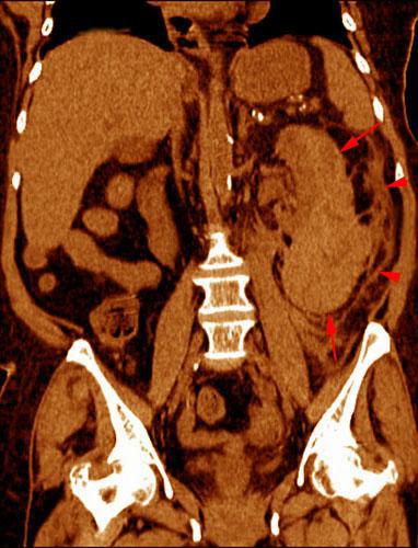
Estallido renal
Estallido renal
Estallido renal
Estallido renal
Estallido renal