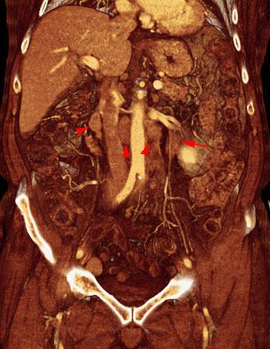
Hipernefroma muy vascularizado
Hipernefroma muy vascularizado
Hipernefroma muy vascularizado
Hipernefroma muy vascularizado
Hipernefroma muy vascularizado
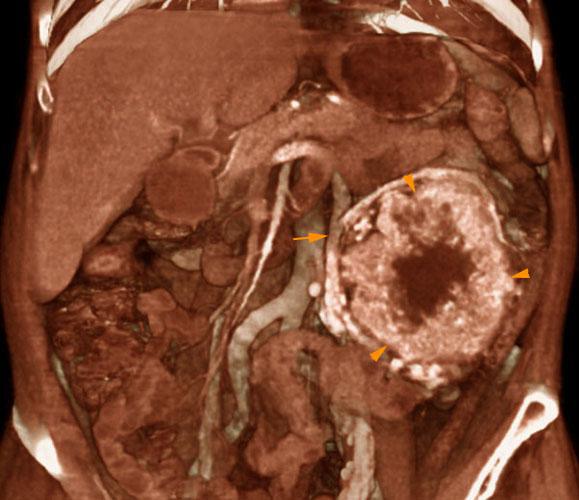
Carcinoma medular renal
Carcinoma medular renal
Carcinoma medular renal
Carcinoma medular renal
Carcinoma medular renal
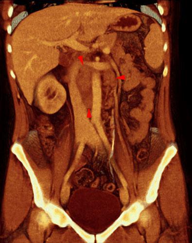
Linfoma renal secundario
Linfoma renal secundario
Linfoma renal secundario
Linfoma renal secundario
Linfoma renal secundario
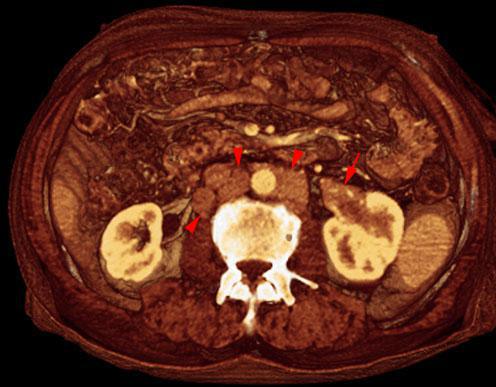
Metástasis renal de carcinoma broncopulmonar
Metástasis renal de carcinoma broncopulmonar
Metástasis renal de carcinoma broncopulmonar
Metástasis renal de carcinoma broncopulmonar
Metástasis renal de carcinoma broncopulmonar