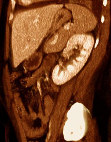
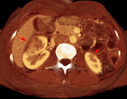
Pielonefritis bilateral aguda y crónica
Pielonefritis bilateral aguda y crónica
Pielonefritis bilateral aguda y crónica
Pielonefritis bilateral aguda y crónica
Pielonefritis bilateral aguda y crónica
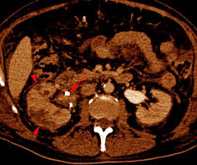
Pielonefritis aguda 1
Pielonefritis aguda 1
Pielonefritis aguda 1
Pielonefritis aguda 1
Pielonefritis aguda 1
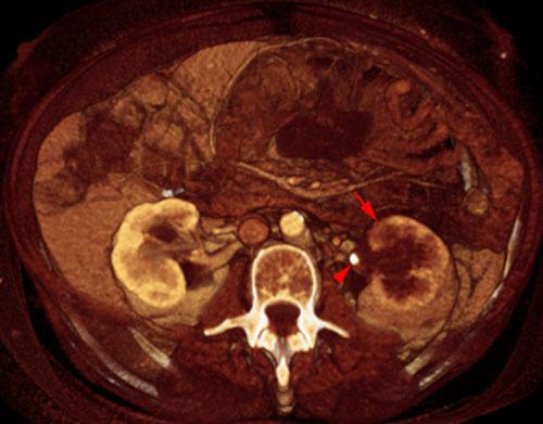
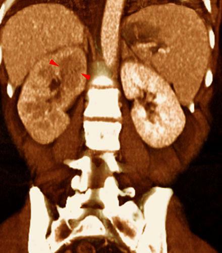
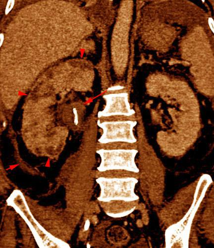
Pielonefritis aguda 2
Pielonefritis aguda 2
Pielonefritis aguda 2
Pielonefritis aguda 2
Abscesos renales en pionefrosis
Abscesos renales en pionefrosis
Abscesos renales en pionefrosis
Abscesos renales en pionefrosis
Obstrucción renal en duplicidad. Absceso renal
Obstrucción renal en duplicidad. Absceso renal
Obstrucción renal en duplicidad. Absceso renal
Obstrucción renal en duplicidad. Absceso renal
Obstrucción renal en duplicidad. Absceso renal
Obstrucción renal en duplicidad. Absceso renal